Dental Implant Patient Who Is A Medical Student
This patient is graduating from medical school this May and found our office through our website. After viewing my website and reading the content she felt confident in my abilities. She scheduled two appointments, a consultation and a placement the next day. We completed her implant and have the crown placed. We also took care of other general dental needs.
The above testimonial is not typical and individual results may vary.
Missing Front Tooth
The patient had a missing front tooth. I placed the implant and followed through with the abutment and crown. In total, he paid $1900 and as you can see from the results the tooth looks phenomenal. I feel I did the best job that could have possibly been achieved while at the same time saving him lots of money. The first picture shows the healing abutment, the second shows the crown abutment and the last picture is with the crown in place and cemented.

Fractured Front Tooth
The patient had a missing front tooth. I placed the implant and followed through with the abutment and crown. In total, he paid $1900 and as you can see from the results the tooth looks phenomenal. I feel I did the best job that could have possibly been achieved while at the same time saving him lots of money. The first picture shows the healing abutment, the second shows the crown abutment and the last picture is with the crown in place and cemented.

Two Missing Front Teeth
Patient LL had two missing front teeth for over 5 years. She told me having them removed and subsequently having a denture was one of the most traumatic experiences of her life. I placed two implants, abutments, and crowns. She is very happy. At the time of the video (April 2012) I had a broken arm from softball.

Fractured Front Teeth
Patient GW fractured his front tooth. I extracted the tooth and placed an implant on the same visit. Once the implant was integrated we placed the crown. GW explains in the video how his brother paid much more for an implant on the same tooth.

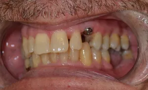
Missing Front Tooth
The patient had a missing front tooth. I placed the implant abutment and crown.

Two Missing Teeth
This patient had two missing teeth, I placed two implants and restored them with abutments and crowns.

Two Missing Front Teeth
Patient HG had two missing front teeth. I placed the implants abutments and crowns. I am happy with the resul

Three-Tooth Bridge
Patient IK Had two implants placed and a three-tooth bridge.

Two Teeth Extractions & Implants
This patient had two teeth extracted with implants placed immediately after extraction. Dr. Rich did the extractions, implants and our associate Dr. Mollie took care of the crowns and abutments.

Damaged Three Front Teeth
Patient MG Had an accident that damaged three of her front teeth. The crowns would not stay on and she even resorted to using crazy glue to try to stick them on. We placed two implants and restored their smile and confidence. As you can see she is really happy with the results and so am I. The picture on the right shows her flipper and the healing abutments. The picture on the left is of her fully restored case with the permanent crowns in place.

Affordable Dental Implant
This patient considered traveling to Mexico for her dental implant. We were able to handle her case with a lower overall cost than traveling abroad. With transportation and accommodations, I do not believe that any country can beat my price. As you can see she is very satisfied with the end result and so am I.

Implant, Abutment & Crown
Patient GK Had an implant, abutment, and crown placed by Dr. Rich. His insurance paid for quite a bit of the procedure and his out of pocket costs totaled less than $800. As you can see he is satisfied with the final outcome. GK was astounded at how there was almost no pain after the placement of the implant.
Multiple Procedures for 86-Year-Old Patient
TL is my 86-year-old patient on whom I placed an implant, abutment, and crown. We also placed 8 other crowns on natural teeth and fit her for a proper lower partial denture. The tooth pictured was originally fractured and I extracted the tooth and placed an implant the same day. Here you can see the abutment and crown. Placing implants beyond this tooth would have required extensive bone grafting and we both felt that at 86 years of age, it may not be the best idea. The implant tooth very nearly fills out her smile and in her opinion the price was right and the procedures were painless.

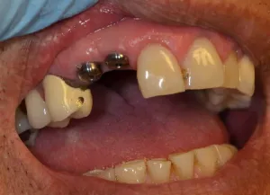
Abutment Procedure
In the first photo, the healing abutment is visible. The second picture was taken 15 minutes later after placing the abutment and cementing the crown. The contours and color are ideal and the patient is very happy. I placed the implant, and also placed the crown and yes the patient did pay $500 for the implant. I have met specialists who charge $3000 for the implant alone meaning adding a crown and abutment a patient may pay $4500. I do the same work for $1950, why pay more? Am I qualified? Take a look at the work above and on this page!

Two Implanted Front Teeth
I am very happy with the cosmetic results. Her implant teeth blend so naturally with the other teeth, except for the red gingiva on #7 caused by an old poor fitting crown. The picture was taken at her one-week followup, the best I can do is a picture of her working cast on which the crowns were made since I did not have my camera on the day of cement.

